Продолжая работу с сайтом, вы разрешаете использование сookies и соглашаетесь с политикой конфиденциальности.
.,о.,р..и.:г,.и.,н.;н.,а;,л.. .,н.:а,.х.,о.,д.;и.,т..с.:я,, ..н.;а., .,k;,i..b.:e,;r.,i.,s.,.;.r.:u,

МРТ гипофиза

Средняя цена: ≈6209₽
Лечат в 873 клиниках
X
X

Дерево медицинских услуг

  1. Описание
  2. Дополнительные факты
  3. Номенклатурные коды

Другие названия и синонимы

Pituitary MRI.
МРТ гипофиза

Описание

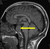
 МРТ гипофиза. Томографическое исследование гипофизарных структур на основе явления ядерного магнитного резонанса. Сегодня это ведущий метод тестирования гипофиза и турецкого седла. Это позволяет с высокой точностью распознавать объемные процессы в турецкой седловой зоне и проводить дифференциальную диагностику (аденома, пролактинома, микроаденома, рак). МРТ гипофиза имеет особое значение при обнаружении микроаденом, которые из-за их небольшого размера не диагностируются другими методами. Безопасно, безболезненно. Это не сделано с металлическими имплантатами вокруг черепа.

Дополнительные факты

 МРТ гипофиза показана пациентам, у которых в анализе крови выявляется высокий уровень гормонов гипофиза (например, пролактина, гормона роста, тиреотропного гормона, АКТГ). В неврологии МРТ используется для диагностики злокачественных и доброкачественных опухолей гипофиза, определения их размера, распространенности, структуры и точного локализации. При использовании других методов микроаденомы гипофиза диаметром менее 10 мм часто остаются незамеченными. С помощью МРТ можно надежно обнаружить опухоли размером от 6 до 10 В большинстве случаев дополнительная МРТ используется во время МРТ гипофиза. Это необходимо для дифференциации гипофизарных образований, выявления злокачественных поражений и определения границ опухолевого процесса.
МРТ гипофиза

Номенклатурные коды

42a96bb5c8a2acfb07fc866444b97bf1
Доступно только при использовании PRO аккаунта
Модератор контента: Васин А.С.


  1. Киберис НЕ является интернет-магазином и НЕ осуществляет закупку, хранение, продажу и доставку препаратов. Ресурс выступает лишь в роли посредника между вами и производителем препаратов или аптечными пунктами, которые и осуществляют поставку.
  2. На Киберис размещены описания препаратов, часть из которых предназначена только для врачей. Данная информация не может быть использована пациентами для принятия решения об использовании препаратов, их отмене или коррекции дозировок.
  3. Ничто в представленной информации не должно быть истолковано как призыв использовать данные препараты.
  4. К Киберис не могут быть обращены претензии по поводу любого ущерба или вреда, понесенного в результате использования размещенной на сайте информации.