Продолжая работу с сайтом, вы разрешаете использование сookies и соглашаетесь с политикой конфиденциальности.
.,о.,р..и.:г,.и.,н.;н.,а;,л.. .,н.:а,.х.,о.,д.;и.,т..с.:я,, ..н.;а., .,k;,i..b.:e,;r.,i.,s.,.;.r.:u,

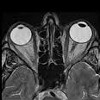
МРТ орбит и зрительных нервов

Средняя цена: ≈5488₽
Лечат в 798 клиниках
X
X

Дерево медицинских услуг

Другие названия и синонимы

MRI of orbits and optic nerves.
МРТ орбит и зрительных нервов

Описание

 МРТ орбит и зрительных нервов. Запись многоуровневых и трехмерных изображений анатомических структур орбит путем регистрации электромагнитной реакции ядер атомов водорода. Исследование позволяет выявить все патологические процессы, локализованные в глазном яблоке, слезной железе, мышцах глаза, сетчатке, зрительном нерве, пара- и ретробульбарной ткани. МРТ тканей проводится по следующим показаниям: оценка повреждения глаз при травмах, диагностика доброкачественных и злокачественных новообразований, инородных тел, гемофтальмия, отслойка сетчатки, атрофия зрительного нерва, тромбоз сосудов сетчатки и другие патологии. Согласно справке (при исследовании сосудов и объемных образований трактов) диагноз проводится с контрастным усилением.

Номенклатурные коды

42a96bb5c8a2acfb07fc866444b97bf1
Доступно только при использовании PRO аккаунта
Модератор контента: Васин А.С.


  1. Киберис НЕ является интернет-магазином и НЕ осуществляет закупку, хранение, продажу и доставку препаратов. Ресурс выступает лишь в роли посредника между вами и производителем препаратов или аптечными пунктами, которые и осуществляют поставку.
  2. На Киберис размещены описания препаратов, часть из которых предназначена только для врачей. Данная информация не может быть использована пациентами для принятия решения об использовании препаратов, их отмене или коррекции дозировок.
  3. Ничто в представленной информации не должно быть истолковано как призыв использовать данные препараты.
  4. К Киберис не могут быть обращены претензии по поводу любого ущерба или вреда, понесенного в результате использования размещенной на сайте информации.